How Long Do You Leave Bleach Trays On Your Teeth . Ould stop bleaching your teeth for a few days. After brushing for a few days, wear your empty bleaching trays alone for a few hours or even overnight. If the teeth become ultra sensitive you can place sensitive toothpaste. But it can come with risks, depending on what you use to whiten your. How long should trays be worn? In regards to how long trays need to be worn, patients should expect to wear them until the teeth have reached the right shade of white. Whitening gels come in different concentrations, from 3% up to 40%, and you should follow the instructions carefully to see how long you need to leave your trays in. Nto the bleaching trays for an hour. After wearing the empty trays, fill them with relief acp desensitizing gel for 1. When done correctly, teeth whitening is generally safe. The length of time to leave the bleach on the teeth depends upon the the concentration of bleach given by your dentist.
from canyongatedental.com
After brushing for a few days, wear your empty bleaching trays alone for a few hours or even overnight. After wearing the empty trays, fill them with relief acp desensitizing gel for 1. If the teeth become ultra sensitive you can place sensitive toothpaste. How long should trays be worn? The length of time to leave the bleach on the teeth depends upon the the concentration of bleach given by your dentist. Nto the bleaching trays for an hour. But it can come with risks, depending on what you use to whiten your. In regards to how long trays need to be worn, patients should expect to wear them until the teeth have reached the right shade of white. When done correctly, teeth whitening is generally safe. Ould stop bleaching your teeth for a few days.
takehomebleachtrays.1 Canyon Gate Dental of Orem
How Long Do You Leave Bleach Trays On Your Teeth If the teeth become ultra sensitive you can place sensitive toothpaste. The length of time to leave the bleach on the teeth depends upon the the concentration of bleach given by your dentist. Ould stop bleaching your teeth for a few days. After brushing for a few days, wear your empty bleaching trays alone for a few hours or even overnight. Whitening gels come in different concentrations, from 3% up to 40%, and you should follow the instructions carefully to see how long you need to leave your trays in. But it can come with risks, depending on what you use to whiten your. If the teeth become ultra sensitive you can place sensitive toothpaste. How long should trays be worn? After wearing the empty trays, fill them with relief acp desensitizing gel for 1. Nto the bleaching trays for an hour. In regards to how long trays need to be worn, patients should expect to wear them until the teeth have reached the right shade of white. When done correctly, teeth whitening is generally safe.
From eurodontic.co.uk
How to fabricate a bleaching tray — Eurodontic How Long Do You Leave Bleach Trays On Your Teeth The length of time to leave the bleach on the teeth depends upon the the concentration of bleach given by your dentist. How long should trays be worn? If the teeth become ultra sensitive you can place sensitive toothpaste. But it can come with risks, depending on what you use to whiten your. After wearing the empty trays, fill them. How Long Do You Leave Bleach Trays On Your Teeth.
From www.youtube.com
Making Bleaching Tray using Erkoskin Spacer YouTube How Long Do You Leave Bleach Trays On Your Teeth When done correctly, teeth whitening is generally safe. In regards to how long trays need to be worn, patients should expect to wear them until the teeth have reached the right shade of white. After brushing for a few days, wear your empty bleaching trays alone for a few hours or even overnight. How long should trays be worn? Whitening. How Long Do You Leave Bleach Trays On Your Teeth.
From canyongatedental.com
takehomebleachtrays.1 Canyon Gate Dental of Orem How Long Do You Leave Bleach Trays On Your Teeth In regards to how long trays need to be worn, patients should expect to wear them until the teeth have reached the right shade of white. How long should trays be worn? If the teeth become ultra sensitive you can place sensitive toothpaste. Nto the bleaching trays for an hour. Ould stop bleaching your teeth for a few days. The. How Long Do You Leave Bleach Trays On Your Teeth.
From www.nutripuncture-pro.com
Teeth Bleaching Trays How Do They Work? Nutripuncture Pro How Long Do You Leave Bleach Trays On Your Teeth But it can come with risks, depending on what you use to whiten your. Whitening gels come in different concentrations, from 3% up to 40%, and you should follow the instructions carefully to see how long you need to leave your trays in. How long should trays be worn? Ould stop bleaching your teeth for a few days. In regards. How Long Do You Leave Bleach Trays On Your Teeth.
From lablavina.com
BLEACHING TRAY Lavina How Long Do You Leave Bleach Trays On Your Teeth After wearing the empty trays, fill them with relief acp desensitizing gel for 1. But it can come with risks, depending on what you use to whiten your. How long should trays be worn? Nto the bleaching trays for an hour. Ould stop bleaching your teeth for a few days. If the teeth become ultra sensitive you can place sensitive. How Long Do You Leave Bleach Trays On Your Teeth.
From www.youtube.com
How to use and maintain custom teeth whitening trays by Helm Nejad How Long Do You Leave Bleach Trays On Your Teeth When done correctly, teeth whitening is generally safe. How long should trays be worn? If the teeth become ultra sensitive you can place sensitive toothpaste. In regards to how long trays need to be worn, patients should expect to wear them until the teeth have reached the right shade of white. Ould stop bleaching your teeth for a few days.. How Long Do You Leave Bleach Trays On Your Teeth.
From anthonymartindmd.com
How to Use Your TakeHome Zoom Whitening Trays — Dr. Anthony Martin, D.M.D How Long Do You Leave Bleach Trays On Your Teeth After wearing the empty trays, fill them with relief acp desensitizing gel for 1. Ould stop bleaching your teeth for a few days. But it can come with risks, depending on what you use to whiten your. If the teeth become ultra sensitive you can place sensitive toothpaste. Whitening gels come in different concentrations, from 3% up to 40%, and. How Long Do You Leave Bleach Trays On Your Teeth.
From eurodontic.co.uk
How to fabricate a bleaching tray — Eurodontic How Long Do You Leave Bleach Trays On Your Teeth After wearing the empty trays, fill them with relief acp desensitizing gel for 1. Whitening gels come in different concentrations, from 3% up to 40%, and you should follow the instructions carefully to see how long you need to leave your trays in. Nto the bleaching trays for an hour. The length of time to leave the bleach on the. How Long Do You Leave Bleach Trays On Your Teeth.
From www.theendoblog.com
The Endo Blog Internal Bleaching of VITAL Teeth How Long Do You Leave Bleach Trays On Your Teeth Nto the bleaching trays for an hour. If the teeth become ultra sensitive you can place sensitive toothpaste. In regards to how long trays need to be worn, patients should expect to wear them until the teeth have reached the right shade of white. Ould stop bleaching your teeth for a few days. Whitening gels come in different concentrations, from. How Long Do You Leave Bleach Trays On Your Teeth.
From sleeppro.com
SleepPro Teeth Whitening Custom Made Bleaching Trays SleepPro Sleep How Long Do You Leave Bleach Trays On Your Teeth Ould stop bleaching your teeth for a few days. The length of time to leave the bleach on the teeth depends upon the the concentration of bleach given by your dentist. If the teeth become ultra sensitive you can place sensitive toothpaste. When done correctly, teeth whitening is generally safe. Whitening gels come in different concentrations, from 3% up to. How Long Do You Leave Bleach Trays On Your Teeth.
From www.youtube.com
Bleaching Tray Fabrication YouTube How Long Do You Leave Bleach Trays On Your Teeth If the teeth become ultra sensitive you can place sensitive toothpaste. How long should trays be worn? When done correctly, teeth whitening is generally safe. Nto the bleaching trays for an hour. But it can come with risks, depending on what you use to whiten your. The length of time to leave the bleach on the teeth depends upon the. How Long Do You Leave Bleach Trays On Your Teeth.
From www.prowhitedirect.com
Teeth Whitening / Bleaching Dental Trays (with reservoirs) How Long Do You Leave Bleach Trays On Your Teeth How long should trays be worn? When done correctly, teeth whitening is generally safe. Ould stop bleaching your teeth for a few days. In regards to how long trays need to be worn, patients should expect to wear them until the teeth have reached the right shade of white. The length of time to leave the bleach on the teeth. How Long Do You Leave Bleach Trays On Your Teeth.
From drsuntev.ch
BLEACHING Zahnarztpraxis Appenzell How Long Do You Leave Bleach Trays On Your Teeth After brushing for a few days, wear your empty bleaching trays alone for a few hours or even overnight. But it can come with risks, depending on what you use to whiten your. Whitening gels come in different concentrations, from 3% up to 40%, and you should follow the instructions carefully to see how long you need to leave your. How Long Do You Leave Bleach Trays On Your Teeth.
From www.desertcart.lk
Opalescence Go Prefilled Teeth Whitening Trays 15 Hydrogen How Long Do You Leave Bleach Trays On Your Teeth In regards to how long trays need to be worn, patients should expect to wear them until the teeth have reached the right shade of white. Ould stop bleaching your teeth for a few days. Nto the bleaching trays for an hour. After brushing for a few days, wear your empty bleaching trays alone for a few hours or even. How Long Do You Leave Bleach Trays On Your Teeth.
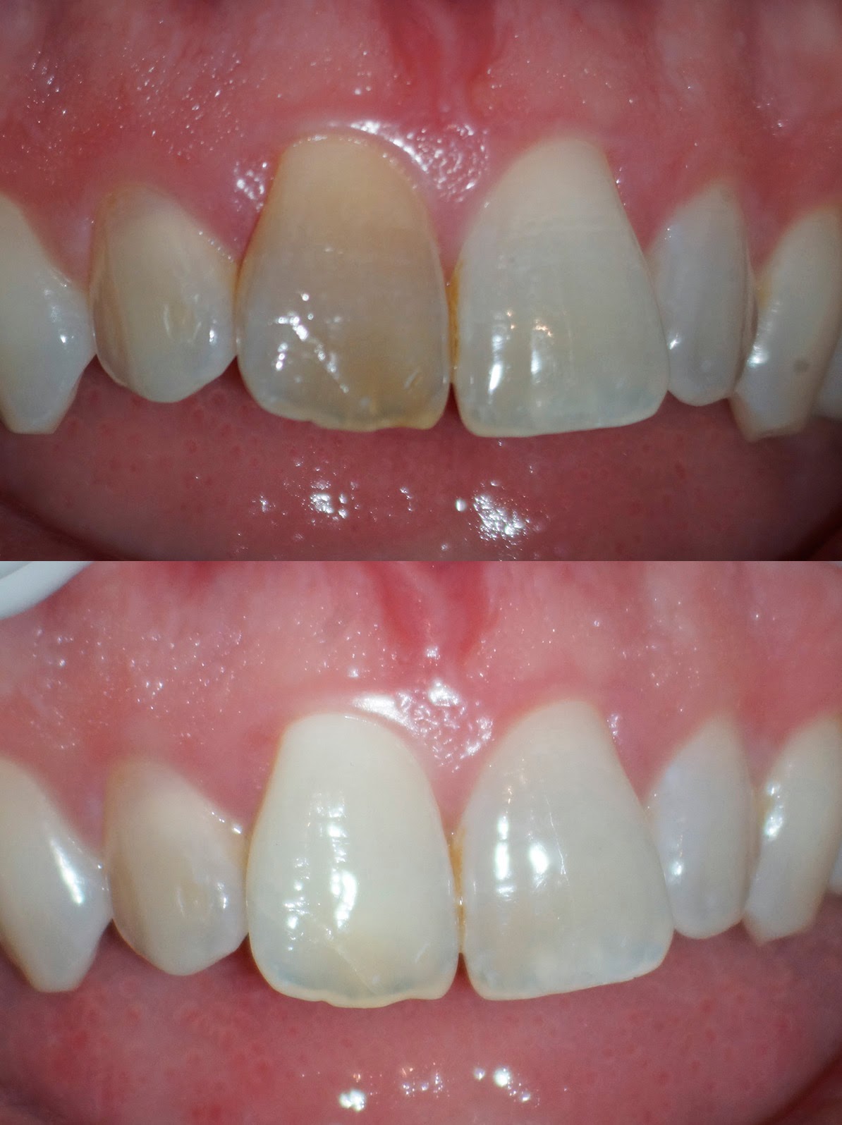
From www.dechellisdentistry.com
Internal Bleaching Before & After Photos Boardman Ohio How Long Do You Leave Bleach Trays On Your Teeth Nto the bleaching trays for an hour. In regards to how long trays need to be worn, patients should expect to wear them until the teeth have reached the right shade of white. The length of time to leave the bleach on the teeth depends upon the the concentration of bleach given by your dentist. But it can come with. How Long Do You Leave Bleach Trays On Your Teeth.
From www.aliexpress.com
Genkent 2 Pairs Thermoforming Dental Mouthguard Teeth Whitening Trays How Long Do You Leave Bleach Trays On Your Teeth Nto the bleaching trays for an hour. Ould stop bleaching your teeth for a few days. After wearing the empty trays, fill them with relief acp desensitizing gel for 1. In regards to how long trays need to be worn, patients should expect to wear them until the teeth have reached the right shade of white. The length of time. How Long Do You Leave Bleach Trays On Your Teeth.
From smithcodental.com
Dental Bleaching Smith & Co. Dental Practitioners Bel Air, MD How Long Do You Leave Bleach Trays On Your Teeth After brushing for a few days, wear your empty bleaching trays alone for a few hours or even overnight. But it can come with risks, depending on what you use to whiten your. When done correctly, teeth whitening is generally safe. The length of time to leave the bleach on the teeth depends upon the the concentration of bleach given. How Long Do You Leave Bleach Trays On Your Teeth.
From abqdental.com
Teeth whitening system ABQ Dental Associates How Long Do You Leave Bleach Trays On Your Teeth When done correctly, teeth whitening is generally safe. Ould stop bleaching your teeth for a few days. How long should trays be worn? After wearing the empty trays, fill them with relief acp desensitizing gel for 1. After brushing for a few days, wear your empty bleaching trays alone for a few hours or even overnight. Nto the bleaching trays. How Long Do You Leave Bleach Trays On Your Teeth.