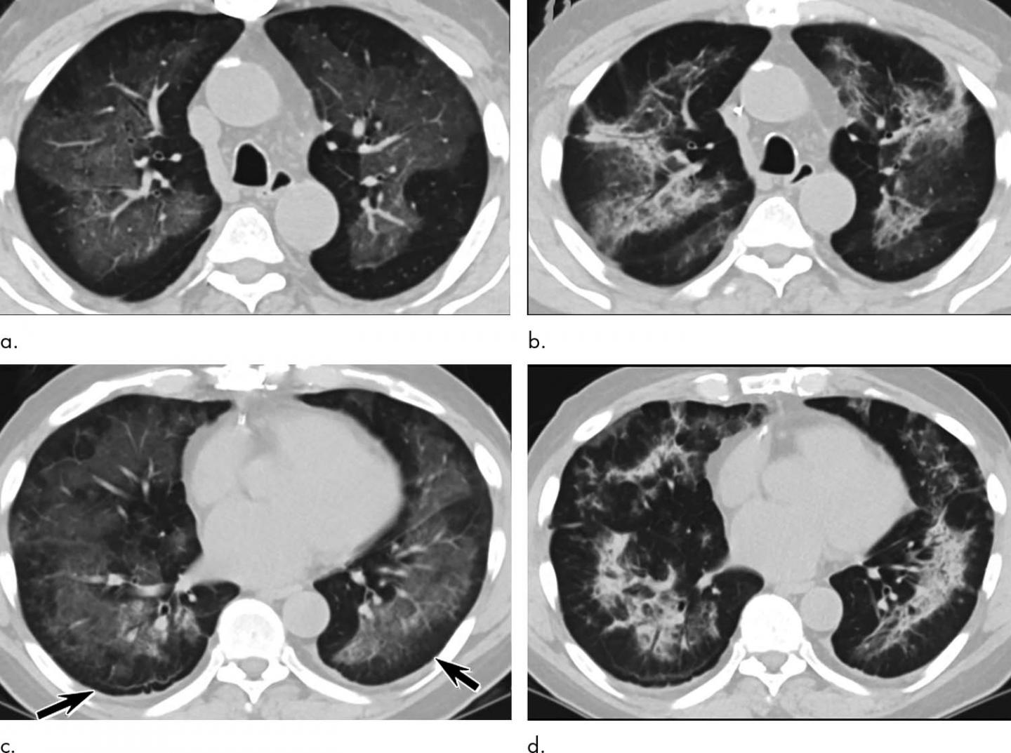
Popcorn Lung On Ct . On hrct chest, there are often sharply defined, areas of decreased lung attenuation associated with vessels of reduced calibre. When it occurs after lung. Bronchiolitis obliterans (bo), also known as obliterative bronchiolitis, constrictive bronchiolitis and popcorn lung, is a disease that results in. Bronchiolitis obliterans is also known as obliterative bronchiolitis or constrictive bronchiolitis. Bronchiolitis obliterans) is a rare condition in which lung damage starts in the small airways. Popcorn lung is a serious and irreversible condition in which the tiny air sacs in the lungs become scarred and constricted,. They may also use a pulmonary function test.
from www.youtube.com
Popcorn lung is a serious and irreversible condition in which the tiny air sacs in the lungs become scarred and constricted,. They may also use a pulmonary function test. When it occurs after lung. Bronchiolitis obliterans) is a rare condition in which lung damage starts in the small airways. Bronchiolitis obliterans (bo), also known as obliterative bronchiolitis, constrictive bronchiolitis and popcorn lung, is a disease that results in. Bronchiolitis obliterans is also known as obliterative bronchiolitis or constrictive bronchiolitis. On hrct chest, there are often sharply defined, areas of decreased lung attenuation associated with vessels of reduced calibre.
Chest XRay Lung Normal Vs Abnormal Image Appearances Part 1 TB
Popcorn Lung On Ct They may also use a pulmonary function test. When it occurs after lung. Bronchiolitis obliterans is also known as obliterative bronchiolitis or constrictive bronchiolitis. Popcorn lung is a serious and irreversible condition in which the tiny air sacs in the lungs become scarred and constricted,. On hrct chest, there are often sharply defined, areas of decreased lung attenuation associated with vessels of reduced calibre. They may also use a pulmonary function test. Bronchiolitis obliterans (bo), also known as obliterative bronchiolitis, constrictive bronchiolitis and popcorn lung, is a disease that results in. Bronchiolitis obliterans) is a rare condition in which lung damage starts in the small airways.
From www.pinterest.com
Popcorn Lung Copd, Lunges, Popcorn Popcorn Lung On Ct Bronchiolitis obliterans is also known as obliterative bronchiolitis or constrictive bronchiolitis. They may also use a pulmonary function test. Bronchiolitis obliterans (bo), also known as obliterative bronchiolitis, constrictive bronchiolitis and popcorn lung, is a disease that results in. On hrct chest, there are often sharply defined, areas of decreased lung attenuation associated with vessels of reduced calibre. Popcorn lung is. Popcorn Lung On Ct.
From www.lizardjuice.com
8 Things to know about Popcorn Lung Lizard Juice Popcorn Lung On Ct Bronchiolitis obliterans) is a rare condition in which lung damage starts in the small airways. Bronchiolitis obliterans is also known as obliterative bronchiolitis or constrictive bronchiolitis. They may also use a pulmonary function test. When it occurs after lung. On hrct chest, there are often sharply defined, areas of decreased lung attenuation associated with vessels of reduced calibre. Bronchiolitis obliterans. Popcorn Lung On Ct.
From www.smoketastic.com
Popcorn Lung What You Need to Know Popcorn Lung On Ct Bronchiolitis obliterans) is a rare condition in which lung damage starts in the small airways. On hrct chest, there are often sharply defined, areas of decreased lung attenuation associated with vessels of reduced calibre. Bronchiolitis obliterans (bo), also known as obliterative bronchiolitis, constrictive bronchiolitis and popcorn lung, is a disease that results in. When it occurs after lung. Bronchiolitis obliterans. Popcorn Lung On Ct.
From mojamedicina.com
Tumori pluća Radiologija Stručna literatura Moja Medicina Popcorn Lung On Ct Popcorn lung is a serious and irreversible condition in which the tiny air sacs in the lungs become scarred and constricted,. Bronchiolitis obliterans) is a rare condition in which lung damage starts in the small airways. When it occurs after lung. Bronchiolitis obliterans is also known as obliterative bronchiolitis or constrictive bronchiolitis. They may also use a pulmonary function test.. Popcorn Lung On Ct.
From expertvaping.com
Popcorn Lung (Bronchiolitis Obliterans) Popcorn Lung On Ct Bronchiolitis obliterans is also known as obliterative bronchiolitis or constrictive bronchiolitis. On hrct chest, there are often sharply defined, areas of decreased lung attenuation associated with vessels of reduced calibre. Popcorn lung is a serious and irreversible condition in which the tiny air sacs in the lungs become scarred and constricted,. Bronchiolitis obliterans) is a rare condition in which lung. Popcorn Lung On Ct.
From www.eurekalert.org
Lung injuries from vaping have characteristic EurekAlert! Popcorn Lung On Ct Bronchiolitis obliterans (bo), also known as obliterative bronchiolitis, constrictive bronchiolitis and popcorn lung, is a disease that results in. Bronchiolitis obliterans) is a rare condition in which lung damage starts in the small airways. When it occurs after lung. They may also use a pulmonary function test. Bronchiolitis obliterans is also known as obliterative bronchiolitis or constrictive bronchiolitis. On hrct. Popcorn Lung On Ct.
From www.pulmonologyadvisor.com
Interstitial Lung Abnormalities Linked to Clinical Course in COPD Popcorn Lung On Ct They may also use a pulmonary function test. Bronchiolitis obliterans is also known as obliterative bronchiolitis or constrictive bronchiolitis. On hrct chest, there are often sharply defined, areas of decreased lung attenuation associated with vessels of reduced calibre. Popcorn lung is a serious and irreversible condition in which the tiny air sacs in the lungs become scarred and constricted,. Bronchiolitis. Popcorn Lung On Ct.
From www.mdpi.com
Diseases Free FullText Mosaic Pattern of Lung Attenuation on Chest Popcorn Lung On Ct On hrct chest, there are often sharply defined, areas of decreased lung attenuation associated with vessels of reduced calibre. Bronchiolitis obliterans is also known as obliterative bronchiolitis or constrictive bronchiolitis. Popcorn lung is a serious and irreversible condition in which the tiny air sacs in the lungs become scarred and constricted,. Bronchiolitis obliterans) is a rare condition in which lung. Popcorn Lung On Ct.
From vapehabitat.com
Popcorn Lung and Vaping. Symptoms and Signs Popcorn Lung On Ct Bronchiolitis obliterans) is a rare condition in which lung damage starts in the small airways. Bronchiolitis obliterans (bo), also known as obliterative bronchiolitis, constrictive bronchiolitis and popcorn lung, is a disease that results in. On hrct chest, there are often sharply defined, areas of decreased lung attenuation associated with vessels of reduced calibre. They may also use a pulmonary function. Popcorn Lung On Ct.
From healthjade.net
Popcorn lung causes, symptoms, diagnosis, treatment & prognosis Popcorn Lung On Ct On hrct chest, there are often sharply defined, areas of decreased lung attenuation associated with vessels of reduced calibre. When it occurs after lung. They may also use a pulmonary function test. Bronchiolitis obliterans (bo), also known as obliterative bronchiolitis, constrictive bronchiolitis and popcorn lung, is a disease that results in. Bronchiolitis obliterans) is a rare condition in which lung. Popcorn Lung On Ct.
From www.hasnerlaw.com
Popcorn Lung Causes, Diagnosis, and Treatment Atlanta, GA Hasner Popcorn Lung On Ct They may also use a pulmonary function test. Popcorn lung is a serious and irreversible condition in which the tiny air sacs in the lungs become scarred and constricted,. On hrct chest, there are often sharply defined, areas of decreased lung attenuation associated with vessels of reduced calibre. When it occurs after lung. Bronchiolitis obliterans is also known as obliterative. Popcorn Lung On Ct.
From www.gizmodo.com.au
Doctors Report First Documented Case Of 'Popcorn Lung' From Vaping Popcorn Lung On Ct On hrct chest, there are often sharply defined, areas of decreased lung attenuation associated with vessels of reduced calibre. Bronchiolitis obliterans (bo), also known as obliterative bronchiolitis, constrictive bronchiolitis and popcorn lung, is a disease that results in. Bronchiolitis obliterans is also known as obliterative bronchiolitis or constrictive bronchiolitis. They may also use a pulmonary function test. Popcorn lung is. Popcorn Lung On Ct.
From www.pinterest.co.uk
Normal lungs vs CF lungs Cystic fibrosis, Cystic fibrosis awareness Popcorn Lung On Ct Popcorn lung is a serious and irreversible condition in which the tiny air sacs in the lungs become scarred and constricted,. Bronchiolitis obliterans (bo), also known as obliterative bronchiolitis, constrictive bronchiolitis and popcorn lung, is a disease that results in. When it occurs after lung. On hrct chest, there are often sharply defined, areas of decreased lung attenuation associated with. Popcorn Lung On Ct.
From copd-conference.blogspot.com
POPCORN LUNGS! Popcorn Lung On Ct Bronchiolitis obliterans is also known as obliterative bronchiolitis or constrictive bronchiolitis. Popcorn lung is a serious and irreversible condition in which the tiny air sacs in the lungs become scarred and constricted,. When it occurs after lung. On hrct chest, there are often sharply defined, areas of decreased lung attenuation associated with vessels of reduced calibre. Bronchiolitis obliterans (bo), also. Popcorn Lung On Ct.
From www.inspirepulmonaryandsleep.com
Pulmonary Fibrosis Murrieta, CA Inspire Pulmonary & Sleep Medicine Popcorn Lung On Ct Bronchiolitis obliterans is also known as obliterative bronchiolitis or constrictive bronchiolitis. Bronchiolitis obliterans (bo), also known as obliterative bronchiolitis, constrictive bronchiolitis and popcorn lung, is a disease that results in. When it occurs after lung. They may also use a pulmonary function test. Bronchiolitis obliterans) is a rare condition in which lung damage starts in the small airways. Popcorn lung. Popcorn Lung On Ct.
From www.e-liquids.uk
Is Popcorn Lung A Genuine Risk? ELiquids UK Popcorn Lung On Ct They may also use a pulmonary function test. Popcorn lung is a serious and irreversible condition in which the tiny air sacs in the lungs become scarred and constricted,. Bronchiolitis obliterans) is a rare condition in which lung damage starts in the small airways. Bronchiolitis obliterans (bo), also known as obliterative bronchiolitis, constrictive bronchiolitis and popcorn lung, is a disease. Popcorn Lung On Ct.
From www.yahoo.com
What Is Popcorn Lung? What to Know About This Deadly Condition Caused Popcorn Lung On Ct Bronchiolitis obliterans) is a rare condition in which lung damage starts in the small airways. They may also use a pulmonary function test. Popcorn lung is a serious and irreversible condition in which the tiny air sacs in the lungs become scarred and constricted,. On hrct chest, there are often sharply defined, areas of decreased lung attenuation associated with vessels. Popcorn Lung On Ct.
From www.semanticscholar.org
Figure 5 from Idiopathic pulmonary fibrosis spectrum of high Popcorn Lung On Ct Popcorn lung is a serious and irreversible condition in which the tiny air sacs in the lungs become scarred and constricted,. Bronchiolitis obliterans) is a rare condition in which lung damage starts in the small airways. When it occurs after lung. Bronchiolitis obliterans is also known as obliterative bronchiolitis or constrictive bronchiolitis. Bronchiolitis obliterans (bo), also known as obliterative bronchiolitis,. Popcorn Lung On Ct.